Tumores de la Columna Vertebral y de la Médula Espinal
Los tumores de la columna vertebral y de la médula espinal pueden manifestarse con dolor persistente, debilidad o alteraciones neurológicas, generando gran preocupación en los pacientes. Una valoración especializada es clave para un diagnóstico preciso y un tratamiento adecuado.
Se trata de lesiones producidas por el crecimiento anómalo de células que afectan a las vértebras, la médula, las raíces nerviosas o sus estructuras de soporte. Estas patologías pueden comprometer la estabilidad de la columna y provocar compresión neurológica, por lo que requieren una valoración especializada por un neurocirujano experto en cirugía de columna y médula espinal.
La presencia de una masa tumoral puede producir dos consecuencias principales:
- Debilitamiento estructural de la vértebra, favoreciendo fracturas patológicas e inestabilidad vertebral.
- Invasión del canal raquídeo, con compresión directa de la médula espinal o de las raíces nerviosas, lo que puede generar déficits neurológicos progresivos.
Tumores de la Columna Vertebral
Los tumores vertebrales son lesiones que afectan a la columna vertebral y a los tejidos que la componen, pudiendo alterar su estructura y estabilidad o comprometer las estructuras neurológicas que alberga. Su manejo requiere una valoración especializada y un enfoque individualizado, orientado a controlar la lesión y preservar la integridad de la columna y del sistema nervioso.
Tipos de Tumores en la Columna Vertebral
Según su origen, los tumores vertebrales se clasifican en tumores primarios y metastásicos.
Se originan directamente en las estructuras óseas de la vértebra y son menos frecuentes que las metástasis.
Tumores Vertebrales Benignos
- Osteoma osteoide: tumor óseo benigno de pequeño tamaño que suele producir dolor nocturno, frecuente en pacientes jóvenes.
- Osteoblastoma: tumor benigno poco frecuente, de mayor tamaño, que puede causar dolor persistente y, en algunos casos, compresión neurológica.
- Hemangioma vertebral: tumor vascular benigno y el más habitual de la columna vertebral, generalmente asintomático.
- Granuloma eosinófilo: lesión ósea benigna típica de niños y adolescentes, asociada a la histiocitosis de células de Langerhans.
- Quiste óseo aneurismático: lesión benigna expansiva que puede debilitar la vértebra y provocar dolor o inestabilidad.
- Quiste óseo simple: cavidad benigna llena de líquido, habitualmente asintomática y de hallazgo incidental.
Estos tumores suelen evolucionar lentamente y, en ausencia de compresión neurológica o inestabilidad vertebral, pueden controlarse mediante seguimiento clínico y radiológico.
Tumores Vertebrales Malignos
- Osteosarcoma: tumor óseo maligno agresivo, más frecuente en adolescentes y adultos jóvenes.
- Condrosarcoma: tumor maligno de origen cartilaginoso, de crecimiento lento y típico del adulto.
- Sarcoma de Ewing: tumor óseo maligno frecuente en niños y adolescentes, de evolución rápida.
- Plasmocitoma solitario: tumor maligno localizado de células plasmáticas, considerado una forma inicial del mieloma múltiple.
- Cordoma: tumor maligno poco frecuente, de crecimiento lento, que predomina en el sacro y la base del cráneo.
- Fibrosarcoma: tumor maligno raro de origen fibroso, con tendencia a infiltración local.
Los tumores malignos primarios requieren un abordaje especializado, generalmente quirúrgico, con técnicas de resección radical y estabilización vertebral.
Las metástasis vertebrales representan la causa más frecuente de tumores en la columna vertebral en adultos. Se producen cuando células tumorales de otro órgano se implantan en las vértebras.
Los tumores con mayor tendencia a metastatizar son:
- Mama
- Próstata
- Pulmón
- Riñón
- Tiroides
- Tracto gastrointestinal (colon, estómago, páncreas, hígado)
- Melanoma
La afectación vertebral metastásica puede provocar dolor intenso, fracturas patológicas y compresión medular, situaciones que requieren una valoración urgente por un especialista. La compresión medular por metástasis vertebrales constituye una urgencia neuroquirúrgica, ya que el retraso en el tratamiento puede provocar déficits neurológicos irreversibles.

Síntomas de los Tumores de la Columna Vertebral
El dolor vertebral localizado es el síntoma más característico. A diferencia del dolor mecánico o degenerativo, el dolor de origen tumoral:
- No mejora con el reposo
- No responde adecuadamente a analgésicos habituales
- Empeora por la noche
- Aumenta con la palpación local
Cuando existe afectación neurológica, pueden aparecer:
- Dolor irradiado por compresión radicular
- Debilidad muscular en extremidades
- Alteraciones de la sensibilidad
- Trastornos de la marcha
- Alteraciones esfinterianas en casos avanzados
Tumores de la Médula Espinal
Los tumores medulares afectan a la médula espinal, las raíces nerviosas o sus envolturas. El daño neurológico se produce por infiltración directa, compresión o inflamación secundaria.
Tipos de tumores modulares
Se localizan dentro del saco dural, pero fuera de la médula:
- Meningioma
- Schwannoma (neurinoma)
- Neurofibroma
- Lipomatosis
La mayoría son de naturaleza benigna.

Se desarrollan dentro del tejido medular:
- Ependimoma (generalmente benigno, aunque existen formas anaplásicas)
- Astrocitoma (bajo a alto grado de malignidad)
- Hemangioblastoma (benigno y muy vascularizado)
- Oligodendroglioma
- Ganglioglioma
- Lipoma intramedular

Síntomas de los Tumores de la Médula Espinal
Estos tumores rara vez producen dolor vertebral local. Los síntomas más habituales incluyen:
- Dolor irradiado por afectación radicular
- Debilidad progresiva en extremidades
- Pérdida de sensibilidad
- Rigidez muscular
- Trastornos esfinterianos, especialmente si se afecta el cono medular
Diagnóstico de los Tumores Vertebrales y Medulares
El diagnóstico se basa en:
- Anamnesis detallada: antecedentes médicos, hábitos y evolución de los síntomas
- Exploración neurológica completa: fuerza, sensibilidad, reflejos osteotendinosos y reflejos cutáneos, para localizar el nivel de afectación
Pruebas complementarias
Evalúa estructuras óseas, fracturas patológicas, destrucción vertebral, estenosis del canal raquídeo o luxaciones.
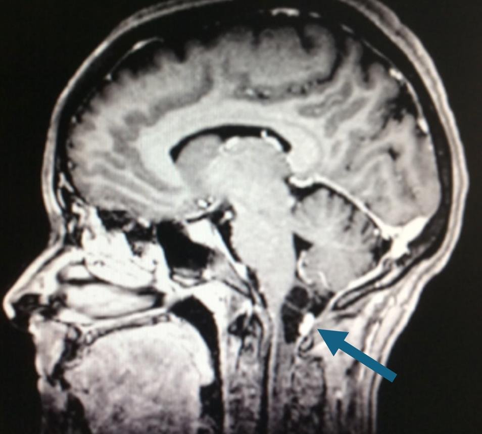
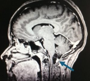
Prueba de elección para tumores de columna y médula espinal. Evalúa partes blandas, relación con la médula y raíces, y detecta compresión, edema, necrosis o hemorragia intratumoral.
Identifica áreas de aumento del metabolismo óseo, útil para detectar lesiones tumorales múltiples.
Indicado cuando se sospecha metástasis vertebral, para localizar el tumor primario.
Tratamiento de los Tumores Vertebrales y Medulares
El tratamiento de los tumores de la columna vertebral y de la médula espinal depende de múltiples factores: el tipo de tumor (benigno o maligno), su localización exacta, el grado de compresión neurológica, la inestabilidad de la columna y la salud general del paciente. El objetivo es preservar la función neurológica, aliviar el dolor y mantener la estabilidad estructural.
Tratamiento de los Tumores Vertebrales Benignos
Los tumores benignos de la columna vertebral incluyen hemangiomas, osteomas, quistes óseos y granulomas eosinófilos. Suelen crecer lentamente y, si no provocan compresión de la médula o inestabilidad vertebral, generalmente no requieren cirugía inmediata.
Opciones de manejo:
- Seguimiento clínico y radiológico: Evaluaciones periódicas mediante resonancia magnética o TAC para vigilar cambios en tamaño o riesgo de fractura.
- Tratamiento conservador del dolor: Analgésicos y medidas de soporte postural cuando existe dolor leve.
- Cirugía electiva: Indicada solo si el tumor aumenta de tamaño, provoca compresión neurológica progresiva o genera fracturas vertebrales que comprometen la estabilidad.
Tratamiento de los Tumores Vertebrales Malignos
Los tumores malignos pueden ser primarios o metastásicos, siendo las metástasis la forma más frecuente en adultos. Su manejo requiere un enfoque multidisciplinar, que combina cirugía, radioterapia y quimioterapia según el tipo de tumor y la situación clínica del paciente.
1. Metástasis Vertebrales
El objetivo principal es controlar el crecimiento tumoral y aliviar el dolor, preservando la función neurológica.
- Radioterapia: Es el tratamiento de elección para controlar metástasis dolorosas y prevenir progresión de la compresión medular.
- Quimioterapia sistémica: Indicada según el tumor primario (cáncer de mama, pulmón, próstata, riñón, tiroides, etc.).
- Cirugía vertebral: Recomendable cuando:
- Se desconoce la naturaleza del tumor y se requiere biopsia.
- Existe compresión medular o radicular con déficits neurológicos y se necesita descompresión urgente.
- Hay inestabilidad vertebral por fracturas o destrucción ósea, requiriendo fijación con tornillos y barras.
2. Tumores Vertebrales Malignos Primarios
Incluyen osteosarcoma, condrosarcoma, sarcoma de Ewing, cordoma y plasmocitoma solitario. El enfoque es más agresivo y busca control local y curación.
- Cirugía radical: Extirpación del tumor intentando resecar la mayor cantidad de tejido tumoral posible.
- Reconstrucción vertebral: Empleando técnicas de fijación, tornillos, barras o prótesis vertebrales para mantener la estabilidad.
- Terapia complementaria: Radioterapia y quimioterapia según histología del tumor y riesgo de recidiva.
Notas clave:
- La cirugía puede ser percutánea (biopsias o procedimientos mínimamente invasivos) o abierta, dependiendo de la extensión tumoral.
- La descompresión medular inmediata es esencial si hay déficits neurológicos progresivos.
- El tratamiento debe ser personalizado, considerando edad, comorbilidades y expectativas funcionales del paciente.
Los tumores medulares se dividen en extramedulares (fuera del cordón medular) e intramedulares (dentro del cordón medular). La estrategia terapéutica se centra en la extirpación microquirúrgica y la preservación de la función neurológica.
1. Tumores Intradurales Extramedulares
Ejemplos: meningiomas, neurinomas y neurofibromas. Son generalmente benignos y su tratamiento principal es quirúrgico.
Procedimiento quirúrgico:
- Acceso al canal raquídeo:
- Abordaje posterior mediante laminectomía (retirada de láminas vertebrales) o laminoplastia (retirada temporal y posterior recolocación de láminas).
- Extirpación del tumor:
- Disección cuidadosa de la médula y raíces nerviosas bajo visión microscópica.
- Empleo de técnicas microquirúrgicas avanzadas para minimizar daño neurológico.
- Monitorización neurofisiológica intraoperatoria:
- Evalúa continuamente la función de la médula y raíces nerviosas, permitiendo ajustes durante la cirugía y reduciendo riesgos de déficit postoperatorio.

2. Tumores Intradurales Intramedulares
Ejemplos: ependimomas, astrocitomas, hemangioblastomas, oligodendrogliomas y gangliogliomas.
- Abordaje inicial similar al extramedular, con laminectomía o laminoplastia.
- Apertura del cordón medular: Se realiza la disección cuidadosa del tumor, preservando tejido medular sano.
- Microcirugía de precisión: Es fundamental separar el tumor de estructuras intramedulares críticas.
- Monitorización neurofisiológica obligatoria: Reduce riesgo de parálisis o déficit sensitivo postoperatorio.
- Tratamiento complementario: Radioterapia o quimioterapia según tipo histológico, especialmente en tumores de alto grado o con riesgo de recidiva.

Consideraciones adicionales en el tratamiento
- Equipo multidisciplinar: Neurocirujano, oncólogo, radioterapeuta, anestesiólogo y neurofisiólogo.
- Recuperación y rehabilitación: Terapia física y ocupacional para restaurar fuerza y movilidad.
- Seguimiento postoperatorio: Resonancia magnética periódica para detectar recidiva o progresión del tumor.